BEFORE & AFTER PHOTOS - COLUMBUS | HILLIARD | SPRINGFIELD | POWELL, OH
The Proof Is In Our Patients
Schedule Your Appointment
GET STARTEDAre You a Candidate
for Dental Impants?
Take Our Quizfor Dental Impants?
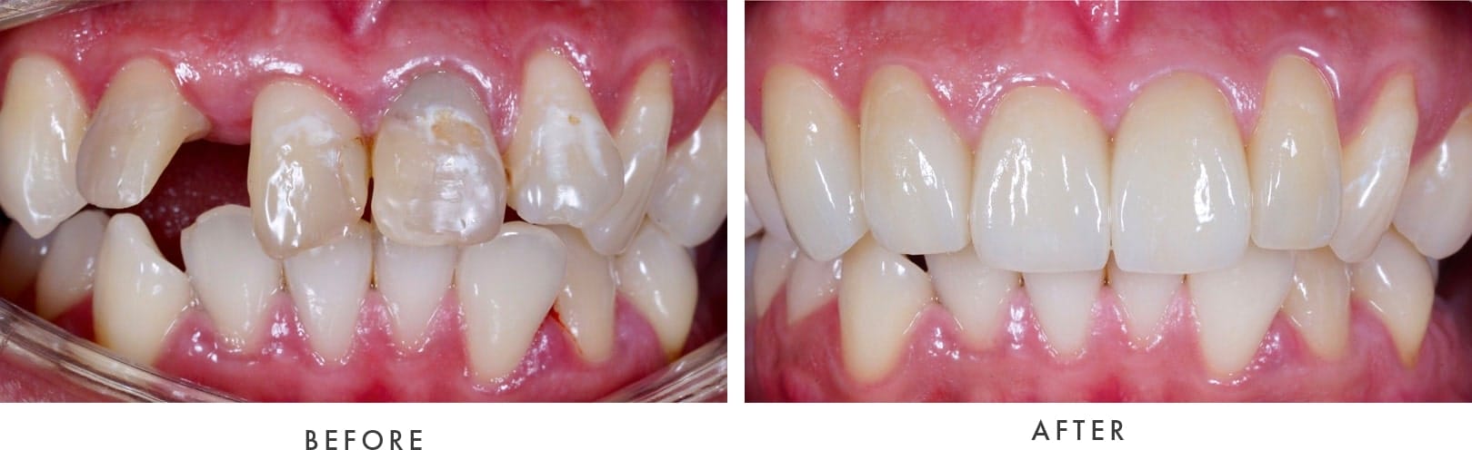
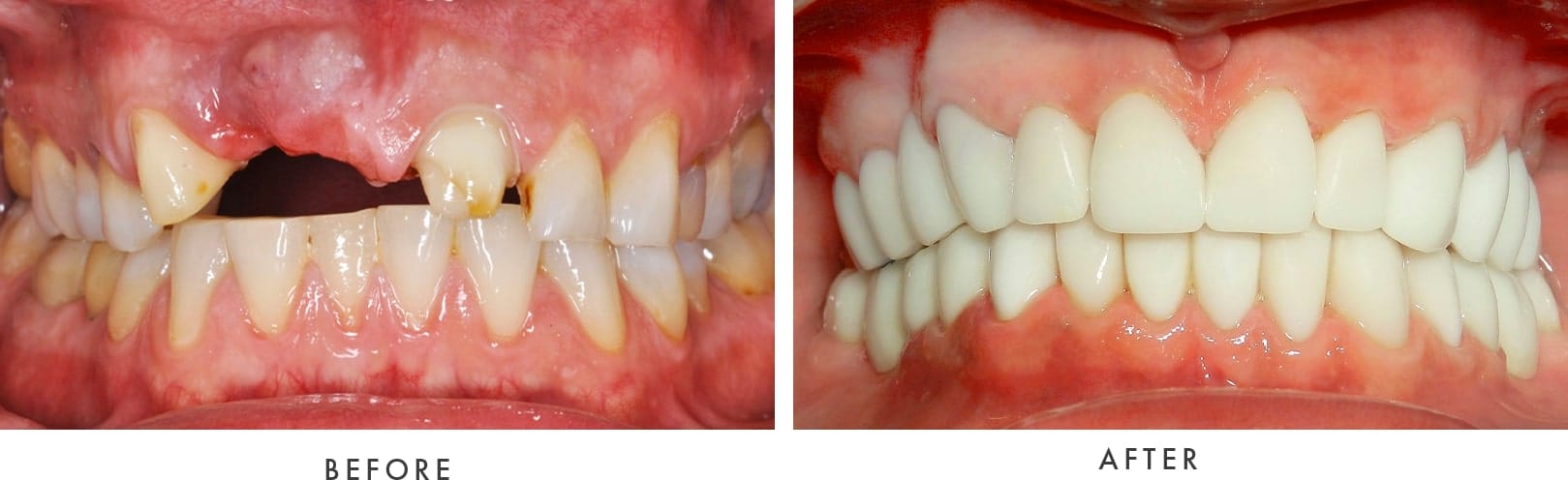
Before & After Photos
















QUICK LINKS
OFFICE LOCATION
Find Out How Life-Changing Dental Implants Can Be For You!
Reserve your consultation and learn more about our warranty!










